生命动荡(二等奖)

作者: 2018-08-30 来源:
放大 缩小


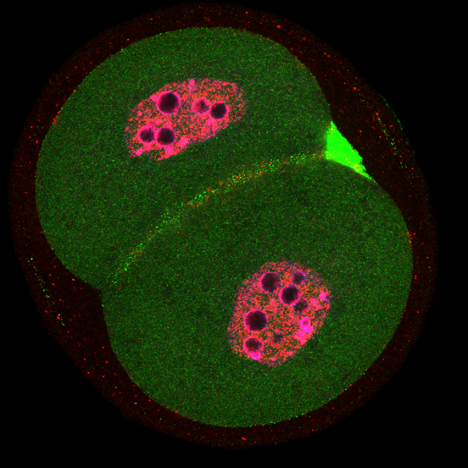
作者:中国科学院动物研究所生物工程组靳卫玉

成像设备:laser-scanning confocal microscope (LSM 780)

作品说明:生命的起始源自精子与卵子的结合,但是生命的“第一次”宏观巨变,源自受精卵的第一次卵裂,该作品展现了受精卵第一次卵裂的静态之美,而其H3K9me2的表观染色,更彰显了卵裂过程中的微观之美。

自身感悟:生命的过程何其伟大,能够从“硕大无比”的受精卵级级分裂变成一个个“渺小”的细胞,并为庞大的生命有条不紊的工作,从事该领域的工作是我的幸运亦是我的责任。
附件: