中国科学院
|
中国科学院机关党委
|
相关链接
中国科学院
中国科学院机关党委
友情链接
Toggle navigation
首 页
组织机构
职工之家
工会要闻
基层动态
先锋模范
工会文件
专题专栏
青年之家
通知公告
团委要闻
基层动态
五四红旗
团委文件
专题专栏
妇女之家
妇工委要闻
基层动态
巾帼风采
妇工委文件
专题专栏
健康之家
体协要闻
体协文件
科苑先锋
先锋模范
五四红旗
巾帼风采
联系我们
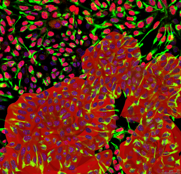
玫瑰花环(三等奖)
作者:
2018-08-30
来源:
【
放大
缩小
】
图示为小鼠胚胎干细胞分化而来的神经干细胞,贴壁培养后呈现极化的花环状排布,形似一朵朵盛开的玫瑰花,称为玫瑰花环(Neural Rosettes)。这些分化而来的细胞表达神经干细胞特异的标志物Sox2(红色)和Nestin(绿色)。在体内发育过程中,神经上皮内陷形成神经管,玫瑰花环实际上是体外贴壁培养条件下神经干细胞形成的神经管样结构。
作者:李静
实验室:干细胞与生殖国家重点实验室 李伟组
成像设备:Zeiss LSM780
附件: